免疫細胞を用いた再生医療【子宮体がん】多発肺転移を伴うステージ4子宮体がんに対し、WT1樹状細胞ワクチン療法・局所放射線療法・化学療法により長期生存が得られた症例

69歳 女性
- 診断名
- 子宮体がん、多発肺転移、ステージ4
現病歴
- 2015年12月
- 不正性器出血を主訴に近医受診。精査にて子宮体がん、多発肺転移と診断された。全身化学療法を勧められたが拒否された。
- 2016年1月
- WT1樹状細胞ワクチン作成のためアフェレーシス(成分採血)を実施。
- 2016年2月
- 不正性器出血の緩和を目的として、原発巣(子宮)に対し放射線治療(15回、30Gy)を開始したが、自己中断。
- 2016年2月
- 放射線治療と並行してWT1樹状細胞ワクチン療法を開始。
- 2016年2月
- 全身化学療法(TC療法)を開始。本人のご希望により1コースで終了。
- 2016年4月
- WT1樹状細胞ワクチン療法単独投与を継続。
CT画像で見る治療経過
転移巣の治療経過
治療前のCT(図1)では左右両葉に多発肺転移を認めました。当初本人が化学療法を拒否されていたことから、不正性器出血を制御する目的で原発巣(子宮)のみに対し放射線治療を行う方針としました。放射線治療前に成分採血を行い、WT1樹状細胞ワクチンの作成を実施しました。
本症例では、原発巣への限定的な放射線治療と、規定量以下の化学療法、そしてWT1樹状細胞ワクチン療法を組み合わせる治療を行いました。このような治療の組み合わせと順序により、多発肺転移巣の縮小が確認されました(図2)。
図1:2015年12月 多発肺転移(黄丸部)
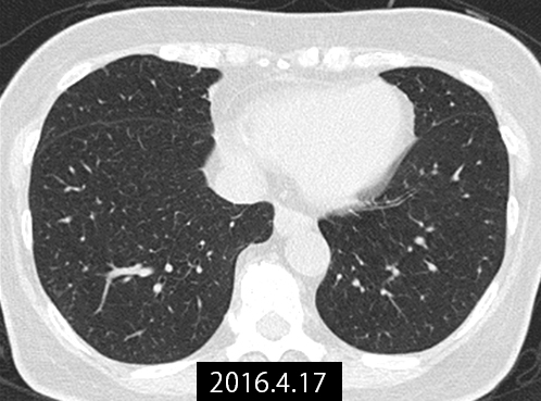
図2:2016年4月 治療後の肺転移巣
当施設での治療概要
当施設では、免疫療法として「樹状細胞ワクチン療法」を実施しました。
治療スケジュール
- 2016年1月:WT1樹状細胞ワクチン作成のためのアフェレーシスを(成分採血)実施
- 2016年2月~:放射線治療と並行してWT1樹状細胞ワクチン療法を開始
- 2016年4月~:WT1樹状細胞ワクチン療法単独投与を継続
経過と変化
本症例は、多発肺転移を伴うステージ4の子宮体がんに対して、放射線治療、化学療法、WT1樹状細胞ワクチン療法を連続して実施した例です。
治療開始時、患者様は化学療法に対して消極的でしたが、不正性器出血の制御を目的とした原発巣(子宮)への限定的な放射線治療から開始し、その後段階的に治療を進めることができました。
治療の特徴は、まずWT1樹状細胞ワクチンを治療開始前に作成(血液の状態が良いタイミングで成分採血)し、原発巣のみへの放射線治療を先行させ、その後にWT1樹状細胞ワクチン療法を開始、さらに規定量以下の化学療法を行うというシーケンシャルな治療アプローチです。このように、標準治療を実施しながら免疫療法と組み合わせるという治療の組み合わせ方と順序により、多発肺転移が制御されたと考えられます。
最終投与後も長期にわたり完全奏効(CR)が維持され、2021年5月時点で再発兆候なく生存が確認されています。
標準治療と免疫療法を適切な順序と組み合わせで実施することで、より包括的な治療アプローチが可能となった症例と考えられます。
副作用について
「樹状細胞ワクチン療法」の主な副作用として、38度前後の発熱やワクチン投与部位の発赤が報告されています。これらは免疫反応によるものと考えられていますが、個人差があります。
これまでに重篤な副作用の報告はありません。
当施設での費用
本症例では、「樹状細胞ワクチン療法」を1クール実施しています。
- 本治療は自由診療(保険適用外)です。
- 当施設で治療を受けられる場合、1クール分(7回投与)の費用には、治療中に必要な血液検査、ワクチンの作製・保管、投与費用などが含まれます。
- 1クール(7回投与)の治療費の目安:280万円(税込)程度です。
- お身体の状態や治療内容によって費用は異なる場合があります。
- 初診料・再診料・相談料等、治療内容によって異なります。
- 日本の健康保険証をお持ちでない方は、費用が異なります。
Doctor's Comment
治療をシーケンシャルに行うことが重要です。ワクチン作成のタイミング、放射線治療、その後の免疫療法と化学療法という治療の組み合わせ方と順序を考慮することが大切です。
がん治療医療相談無料
さまざまな選択肢を知ることで、患者様が納得して治療に臨めるよう、医師がじっくりとご相談に対応します。